近日,我院一例冠脉三支病变合并慢性闭塞病变(cto)的患者,经过我院心血管科涂小明主任、周增兴副主任团队精心准备,并在江西省人民医院洪浪教授的指导下顺利完成手术,标志着我院心血管介入治疗手术难度再上新台阶。
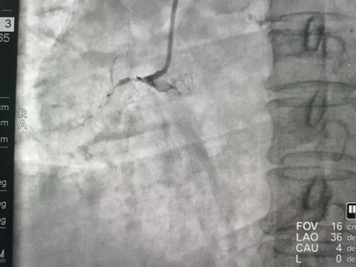
患者龙某,女,59岁,因胸痛2天加重2小时入院,2024年3月9日冠状动脉造影示左主干正常,前降支近中段长斑块,狭窄90%,TIMI血流3级,可见逆向血流至右冠远端;高位钝缘支可见散在斑块,狭窄80-90%,TIMI血流3级;右冠开口发出后完全闭塞,TIMI血流0级。
术前影像▼


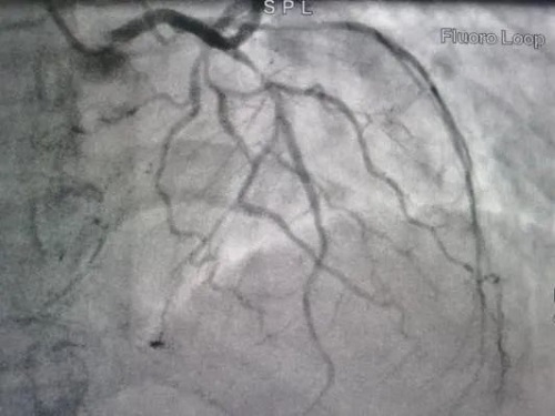
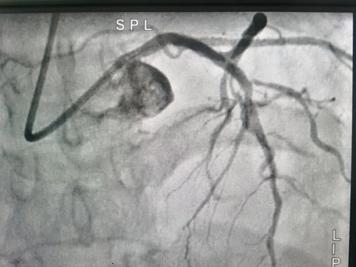
术中在前降支及高位钝缘支各植入支架1枚,正逆向尝试后开通右冠并植入支架3枚。
术后影像▼


我院心血管科和介入诊疗中心于2023年12月成为江西省人民医院心血管病医院介入分中心核心单位。江西省人民医院心血管病医院定期派驻专家到我院重点查房并手术指导,使得我院心血管介入手术量和手术难度迅速提升,也必将为我县心血管病患者提供更优质更便捷的医疗服务。
科室简介

宜春学院第一附属医院 万载县人民医院心血管科拥有一支人才梯队整齐、技术力量雄厚的医疗队伍,设有心血管内科、心脏重症监护室( CCU )及心导管室。目前开放床位66张,心脏重症监护室( CCU )开放病床3张。科室技术骨干对高血压、严重心律失常、心脏瓣膜病、心肌心包疾病、先天性心脏病、顽固性心衰、心源性休克、周围血管病等疾病进行高水平、规范化的诊治,对急性心肌梗死、主动脉夹层、肺动脉栓塞等心血管急危重症的救治有丰富的抢救经验。心导管室配备先进的美国 GE 数字减影血管造影系统( DSA ),主动脉内球囊反搏系统( IABP ),临时起搏器及血管内超声,对冠脉介入诊疗技术、心律失常射频消融术、单双腔心脏起搏、外周血管造影及支架植入等一系列心血管介入诊疗有成熟的经验。全科人员锐意进取,团结奋进,求真务实,勇于创新,不断提高医术水平,竭诚为广大患者提供更优质的医疗服务。
科室电话:0795—8981113