宜春学院第一附属医院 万载县人民医院耳鼻咽喉科黄德虎医生分享了一个病例:一名女病人,因为耳朵痒了1年、一直不缓解,到了“奇痒难忍、寝食难安”的程度,耳道还不断流出有臭味的分泌物,因此到了耳鼻喉科就诊。经耳内镜检查,这名病人耳朵竟得了脚气,医学上称真菌性外耳道炎。黄德虎医生引用病人原话说:“采耳店有一种鹅毛棒,巨爽无比,每次耳朵痒都要去。等到发现自己想戒又戒不掉的时候,就该改道来耳鼻咽喉科了。”

真菌性外耳道炎虽然是条件致病菌所引起,预后良好,但较长的病程、疾病的痛苦以及反复的发作严重影响到患者的生活质量及其心理健康,带来较大的疾病负担,对该病的及时诊治将使患者获得极大的益处。我院耳内镜下使用派瑞松疗法收到良好的治疗效果。
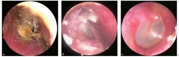
.具体操作流程(耳内镜下):

首先在耳内镜下清理干净外耳道,用抗生素激素类药液冲洗。

a.用钩针、吸管等显微器械将真菌与外耳道皮肤之间分离;b.采用吸管仔细从外耳道及鼓膜表面分离真菌;c.使用细长棉签外耳道表面均匀涂派瑞松乳膏; 由于耳颞区的解剖特点及血迷路屏障的存在,局部途径用药可使药物直接作用于病变部位,充分发挥最大药效。因此耳部疾病的治疗,耳局部用药已成为常用和有效的治疗手段。传统的耳部局部用药方式主要以滴药、浸泡为主,药物可以直接作用于暴露的外、中耳,但对于某些局限性病灶反而不能针对性地精确用药。耳内镜下的耳部给药则更为细致,例如在内镜监视下使用耳科电凝对局灶性病变进行烧灼,可以避免损伤周围正常组织。对于传统的耳部滴药,在患者伴外耳道耵聍、痂皮及分泌物等堵塞时必然会影响药物到达作用部位。在用药前应用耳内镜充分清理后可以准确地投药至所需部位,在局部形成数十甚至数百倍于全身应用时的药物浓度,迅速达到峰值药物浓度,并长时间维持; 虽然局部形成极高的药物浓度,但用药总量及进入血液循环的药量明显少于全身用药,因而大大减少对全身重要脏器产生的毒性不良反应。
耳鼻咽喉科简介

宜春学院第一附属医院 万载县人民医院耳鼻咽喉科是全县耳鼻咽喉诊疗中心,现有主治医师4人,副主任护师2人,主管护师4人,护师3人,设置病床41张。年门诊工作量近10000人次,住院病人超过800人次/年,手术量约600台/年。耳鼻咽喉科开展项目:耳科:耳前瘘管摘除术,耳廓假性囊肿摘除术,耳廓及外耳道肿物摘除术,鼓膜置管术,鼓室成形术,乳突根治术,突聋,梅尼埃病,迷路炎的诊治及耳石症手法复位;鼻科:鼻前庭囊肿揭盖术,上颌窦根治术(泪前隐窝路入),全组鼻窦开放术,鼻中隔三线减张术,鼻腔扩容术,下鼻甲等离子消融术,鼻腔,鼻窦肿物摘除术,鼻内镜下电凝止血术;咽喉科:腺样体、扁桃体等离子摘除术,咽喉,舌根肿物摘除术,喉内镜下声带肿物摘除术,气管切开术,气管漏口修补术,食管异物取出术。耳鼻咽喉科设备:拥有鼻内镜系统、耳内镜系统、支撑喉镜,电子喉镜,硬性食道镜,耳鼻喉综合治疗台、电测听+声导抗、耳鼻喉动力系统、低温等离子等设备。
科室地址:门诊二楼眼耳鼻咽喉科诊室
住院大楼6楼新区眼耳鼻咽喉住院部
科室电话:0795-8981156