为持续彰显医院临床诊疗技术提升成果,聚焦各专科高难度手术、急危重症救治的临床实践,让精准医疗与微创技术更好守护百姓健康。我院手术周报第五期全面更新,覆盖妇产科、脊柱外科、肝胆血管外科、胃肠外科等专科,集中展现高精尖手术开展、微创技术应用、多学科协作攻坚及急危重症救治的硬核实力,以精湛医术为患者筑牢健康防线,用专业担当守护群众生命安康。
温馨提示:以下内容包含手术相关图片,画面若引起不适,请谨慎观看。
一、妇产科:微创无痕除肌瘤,腹腔镜辅助经阴道子宫切除术获突破
腹腔镜辅助下经阴道全子宫切除术(LAVH)(四级手术):近日,我院妇产科主任医师袁树华及副主任医师周丽萍组成的妇科团队成功为一名老年多发性子宫肌瘤患者实施腹腔镜辅助下经阴道全子宫切除术(LAVH)。患者子宫多发肌瘤,增大如孕3月余,直径7cm、5cm至2cm大小瘤体8个。传统术式需开腹留下长疤,而本次手术仅借助腹腔镜辅助,经女性自然腔道完整切除子宫及瘤体,腹部切口(1个脐孔和2个直径0.5cm穿刺孔。术后患者恢复良好,第二天即下床活动,无并发症,目前已顺利出院。该术式兼具腹腔镜的清晰视野与经阴道手术的无痕优势,是非脱垂子宫行子宫切除术微创治疗的理想选择。我院妇科开展此项技术,为女性健康保驾护航,不留“心疤”。


二、脊柱外科:勇闯生命禁区,高难度与微创精准施治
近日,我院脊柱外科成功为两位患者实施了个体化、精准化的手术治疗,彰显了我院脊柱外科在高难度手术及微创技术领域的深厚实力与多学科协作优势。
1. UBE单侧双通道内镜减压术(四级手术):对于老年患者而言,传统开放手术创伤大、恢复慢,对于高龄患者而言风险较高。脊柱外科团队经全科讨论后,张亮副主任医师与周源主治医师采用国内领先的UBE单侧双通道内镜微创技术,为一名老年多节段腰椎管狭窄患者实施精准减压手术。手术仅需两个约1厘米的微小切口,便可完成椎管减压操作,具有创伤小、出血少、术后恢复快、治疗效果好等特点。目前该项微创技术已在我院脊柱外科常规开展,为众多腰椎疾病患者解除病痛,提升生活质量。



2.上颈椎高风险手术(四级手术):患者因颈脊髓损伤导致高位截瘫入院,病情危急。更为棘手的是,患者同时合并糖尿病、高血压、脑梗等多种基础疾病,身体状况复杂,手术及麻醉风险极高。上颈椎(C1-C3区域)手术毗邻延髓、椎动脉等生命中枢,解剖结构复杂,操作空间狭小,向来被视为脊柱外科手术的“禁区”。
面对这一严峻挑战,脊柱外科团队启动多学科协作机制。制定了周密的围手术期管理方案与应急预案。术中在麻醉科的精准护航下,丁晔副主任医师为患者实施了堪称“刀尖上舞蹈”的颈椎后路C1后弓切除+C2穹顶减压+C3-C6椎板扩大减压成型术。该手术技术要求极高。术中可见脊髓减压充分,手术过程顺利。术后患者躯干及肢体的感觉功能已开始逐步恢复,为后续康复奠定了坚实基础。





三、肝胆血管外科:微创精准除顽疾,急诊救治显担当
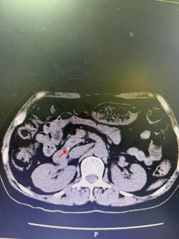
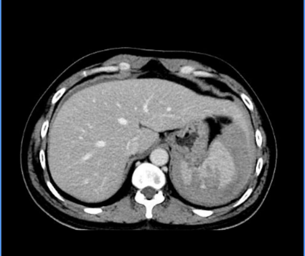
1. 内镜逆行胰胆管造影取石术:一名中老年女性患者,因“突发上腹部疼痛不适2天”入院。完善相关检查后诊断“胆总管末端小结石伴胆管炎”明确。考虑石头小,位置低,胆管扩张不明显,传统腹腔镜及开刀手术困难,家属要求保守1周后复查小石头仍位于胆总管末端,存在安全隐患。完善术前检查,经综合评估,由郭陵副主任医师、鲍慧文主治医师、汤如波医师组成的手术团队在静脉全麻下行内镜逆行胆管造影(ERC)术,保留奥狄氏括约肌功能,稍做扩张后取净小结石,留置鼻胆管引流管一根。患者术后无明显并发症,恢复顺利,术后2天出院。


2. 全脾切除术+自体脾移植术:针对一名车祸致脾破裂的急危重症患者,郭陵副主任医师、邓彬副主任医师、刘健医师、汤如波医师团队第一时间启动急诊绿色通道,争分夺秒开展手术。术中清理腹腔积血及凝血块约2500ml,手术团队操作高效、配合默契,全程把控手术安全,顺利完成全脾切除术+自体脾移植术。术后患者生命体征平稳,各项指标逐步恢复正常,充分展现了我院肝胆血管外科在急危重症外伤救治中的硬核实力与应急处置能力。



四、胃肠外科:单孔腹腔镜阑尾切除术,微创无痕守护女性健康
单孔腹腔镜下阑尾切除术(SILA):患者为年轻女性,既往产后1周因粪石性阑尾炎在我院胃肠外科保守治疗。此次因“再转移性右下腹痛9小时余”入院,经查体、实验室检查及腹部影像学评估,明确诊断为急性阑尾炎,具备手术指征。考虑到患者为年轻女性,对术后腹部美观度要求较高,胃肠外科王林财主治医师、丁洪根主治医师经充分评估病情、完善术前准备后,决定给予行单孔腹腔镜手术方案。

手术在全麻醉下进行,团队仅通过患者脐部一个约2cm的微小切口,置入单孔腹腔镜器械,在高清腹腔镜视野下精准分离阑尾系膜、结扎阑尾根部,完整切除病变阑尾,并将标本经脐部切口取出,随后对切口进行美容缝合。整个手术操作精细、出血极少,手术时间短,成功规避了传统多孔腹腔镜手术的多个切口创伤,目前患者已顺利康复出院。
此次手术的成功开展,彰显了我院外科团队在微创外科领域的成熟技术与精细化诊疗水平,未来团队将持续推广单孔微创技术,为更多患者提供创伤更小、恢复更快、美观度更高的诊疗选择。
技术亮点与优势:
单孔腹腔镜阑尾切除术(SILA)是腹腔镜微创技术的进阶术式,相比传统三孔腹腔镜手术,核心优势在于:
1. 极致微创:仅脐部单一切口,创伤更小、术后疼痛显著减轻,住院时间更短;
2. 美容效果佳:切口隐藏于脐部天然凹陷,术后几乎无可见瘢痕,尤其适合年轻、对美观要求高的患者;
3. 安全性高:在高清腹腔镜视野下操作,可清晰探查腹腔,有效降低术后粘连、切口感染、戳卡孔疝等并发症风险。
本期手术周报全方位展现了我院在微创外科技术、急危重症抢救、多学科协同诊疗等领域的综合实力。未来,医院各专科将继续深耕技术、精益求精,持续突破诊疗技术瓶颈,不断提升医疗服务质量,全力为赣西地区百姓提供更优质、更便捷、更高效的医疗服务,稳步推进“大病不出县”医改目标落地见效,践行守护百姓健康的初心使命。